Back
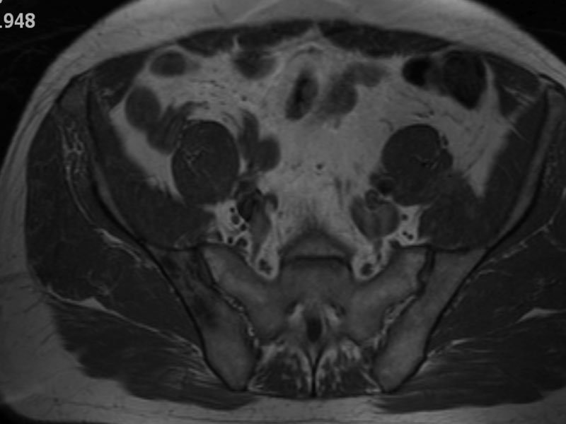
Fig 4. Axial MRI showing signal change to the sacroiliac joint