Back
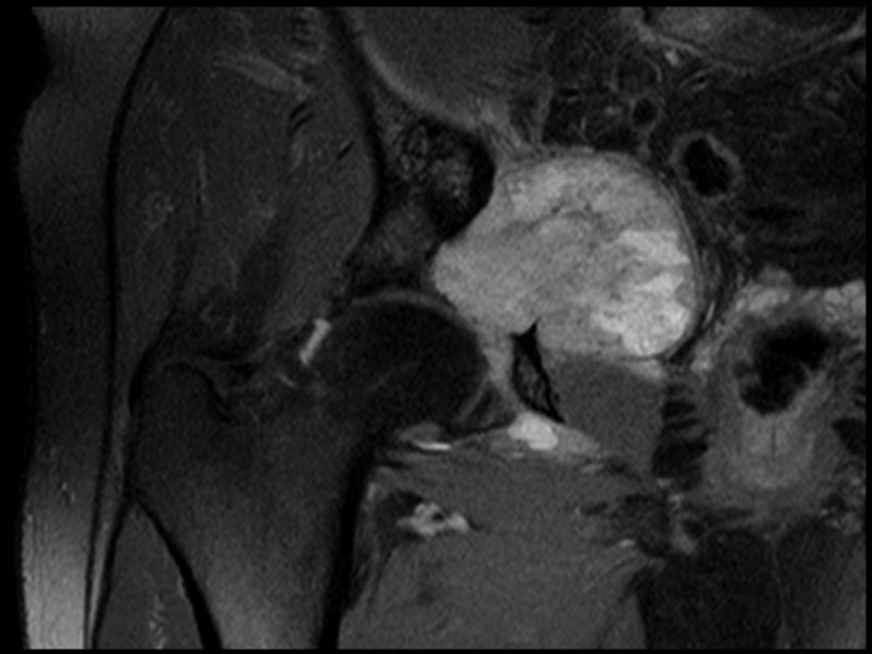
Fig 2. Coronal MRI showing acetabular tumour