Categorised under:
Interventional Radiology
>
Imaging equipment
>
Ultrasound
Imaging
>
US Scanners
>
Compact
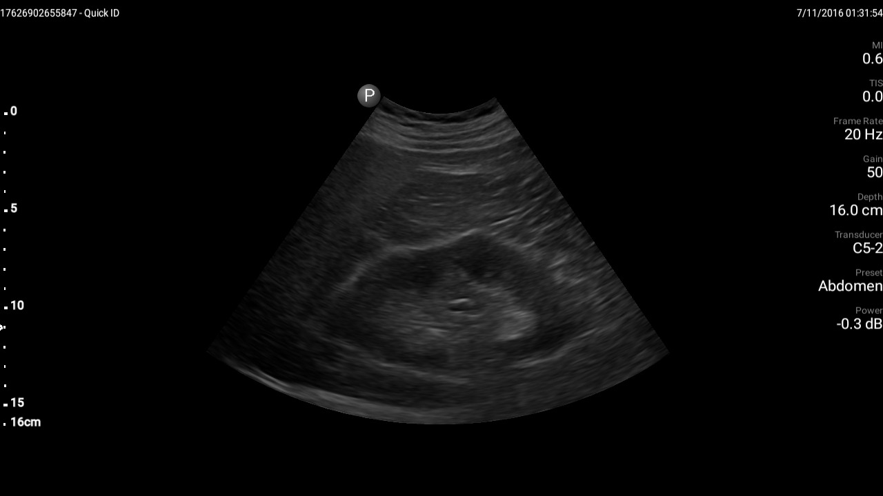
Having complete a 4 week trial using the Philips Lumify, we were suitably impressed with the capability of this highly portable ultrasound machine. Needless to say some of us were sceptical about this machine due to previous poor experience with portable ultrasound equipment (anyone remember the GE VScan?). Summary of Key Points: ?The Philips Lumify is an outstanding portable ultrasound system with great image quality, battery life and ease of use. ?The option of a curvilinear and linear probe means it can be used for most ultrasound applications, we were impressed with its abdominal and vascular imaging capability. ?While the image quality is outstanding and rivals the quality of its larger counterparts (Philips Epiq and iU22), it isn?t designed to be a replacement for a departmental ultrasound machine. The inability to change focal zone, lack of harmonics and the somewhat frustrating probe connection to the tablet were the only slightly frustrating aspects to this device. In the future it would be nice to see compatibility with Apple devices. Additional features to augment its use would be to include some sort of stand in the case for the tablet in order to stabilise it while scanning. ?Overall the Lumify is a capable ultrasound system at an affordable price point and would certainly make a welcome addition to any medical department that uses ultrasound
The Lumify is Philips latest portable ultrasound system which connects to any compatible Android handheld device (tablet or phone). Two transducers are available (Curvilinear and Linear) which plug directly into the device and require no additional power supply. Rather than purchasing the device in its entirety, Philips have launched a monthly subscription model which is currently available in the USA. The android device needs to be provided by the user. The Lumify app is downloadable from the Google Play store.


Did you know you can Register for FREE with this website?
Registration gives you full access to all of the features of WhichMedicalDevice. Find out more ...
WhichMedicalDevice is a FREE resource created by clinicians for clinicians.
Registration is free and gives you unlimited access to all of the content and features of this website.
Find out more...Registration is free and gives you unlimited access to all of the content and features of Which Medical Device. Find out more...
Which Medical Device is a community of clinicians sharing knowledge and experience of the devices and procedures we use on a daily basis. We ask that our members register with us so that we can maintain the unbiased and independent nature of our content. Registration is quick and free.
We do not make your details available to any third parties nor do we send unsolicited emails to our members. You can read our Privacy Policy here.