Stryker Exeter Hip | Which Medical Device

Exeter Hip

Added Jan 18, 2011

Manufactured by Stryker

Editor Rating

info

User Rating

info
Add your Rating

Categorised under: Orthopaedics > Hip > Femoral stem - cemented

Reviews

Reviewed by Jim Holland Reviewed Dec 13, 2012

Consultant Orthopaedic Surgeon, Freeman Hospital, Newcastle upon Tyne, UK - No Conflict Declared

Editor Rating

The Exeter stem has been in clinical use for well over 30 years now with an excellent track record in terms of  its lack of requirement for revision. Long-term follow-up of patients has shown a 90% stem survivorship and 70% cup survivorship at 30 years. Our experience at Freeman Hospital in Newcastle over 15 years from 1998 – 2012 has been very similar. Of approximately 2000 Primary THR Exeter stems performed in this time, no femoral stem has been revised for aseptic loosening. Of the acetabular components, 150 ABG (Stryker) uncemented cups used between 1999 and 2000, none have been revised for loosening or wear. The remaining 2850 majority were cemented cups and of these 4 have subsequently required revision for aseptic loosening.

Exeter THR: Experience & Top Tips

The Exeter stem has been in clinical use for well over 30 years now with an excellent track record in terms of  its lack of requirement for revision. Long-term follow-up of patients has shown a 90% stem survivorship and 70% cup survivorship at 30 years (www.exeterhip.co.uk).

Our experience at Freeman Hospital in Newcastle over 15 years from 1998 – 2012 has been very similar. Of  approximately 2000 Primary THR Exeter stems performed in this time, no femoral stem has been revised for aseptic loosening. Of the acetabular components, 150 ABG (Stryker) uncemented cups used between 1999 & 2000,  none have been revised for loosening or wear. The remaining 2850 majority were cemented cups and of these 4 have subsequently required revision for aseptic loosening.

Conventionally, this stem is well suited to the posterior approach and standard advanced cementation techniques. The design is easy to learn, use and teach thus giving reproducibly reliable outcomes as confirmed in the UK National Joint Registry.

Click to view graph (Figure 1)

Top Tips

Sizing: range of sizes and intra-operive versatility should be your friend, but as with all things, if not used correctly can result in errors. 

Adjustment of length: by way of level neck resection or depth of stem insertion is a useful trick, but should be carefully considered. Likewise choice of offset should reproduce natural biomechanics. However, too much and the leg will feel too long and result in trochanteric pain. Too little offset risks reduced tissue tension and dislocation. Pre-operative templating and intra-operative measurements of leg-length and offset should always be used.
 
Accurate reconstruction of leg length and offset: comparison of offset in Birmingham hip resurfacing and hybrid Exeter total hip arthroplasty. (Ref: Loughead JM, Chesney D, Holland JP, McCaskie AW. J Bone Joint Surg Br. 2005 Feb;87(2):163-6).
 
Broaching: pre-plan stem size from AP and lateral X-rays – be prepared for the very small and very large client with full inventory of sizes; never force the broach because it will fracture the femur or get stuck; use a curette to clear the internal bone of the greater trochanter thus allowing the shoulder of the prosthesis to tuck under the priform fossa to ensure central alignment within the canal - broaches alone rarely give adequate cement mantle in this region and put the stem in varus (Figure 2).
 
In the tight femur, if the lowest measuring hole of the broach is at the neck cut a trial should easily fit the canal.
 
Stem insertion: never use the winged centralisers with any 35.5 or 37.5  No 1 or 2 offset stems – they may jam distally preventing component insertion. Use the simple wingless design or alternatively, snap off two wings and keep the 3rd in place, but put on the lateral side of the stem to encourage away from the lateral side of the femoral canal (Figure 3, Figure 4, Figure 5).
 
(Figure 6): Insertion by hand (with cement pressurisation): avoids impingement of the insertion device and also wobbling the stem as the device is dis-engaged. A small amount of cement over the lateral shoulder will prevent the stem dissociating from the mantle in the event of a dislocation being manipulated back into joint. 
 

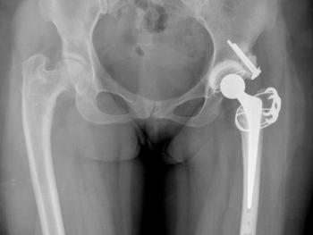
Clinical cases: variations of Exeter stem size and offset copes with almost all abnormal anatomies.

 
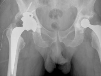
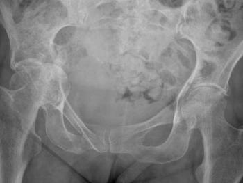
Figure 7 & Figure 8: DDH case with bowed femur and over-riding GT. 

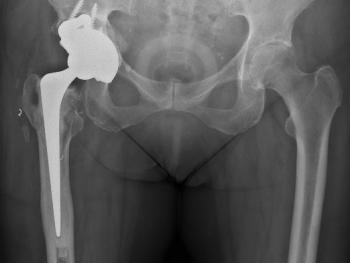
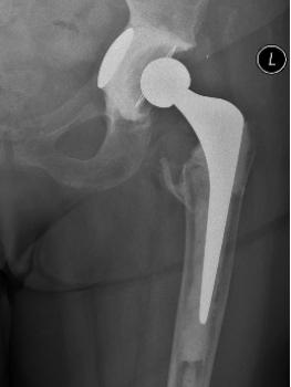
Figure 9 & Figure 10: DDH case – small socket – 40/22mm required. Leg length restored. Modularity of head sizes and offsets allows accurate restoration of leg length and offset.

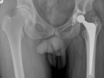
Figure 11 & Figure 12: Cemented fixation in poor bone has the immediate advantage of full weight-bearing in frail patients, especially after trauma.
 
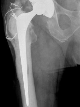
Figure 13 & Figure 14: In revision hip surgery, the Exeter stem is very versatile for the majority of Paprosky Grade 1 femoral defects. Its length of 15cm conveniently bypasses the 12cm Charnley stem. 
 
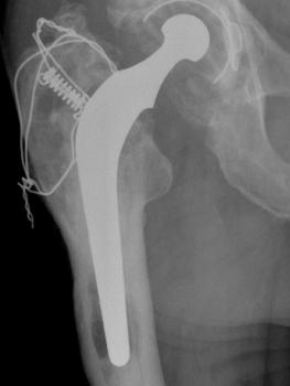
Figure 15 & Figure 16: In appropriate cases with a well-fixed cement mantle, the Exeter stem is well-suited to ‘cement-in-cement’ revision technique providing a rapid, atraumatic, bloodless solution for the frail patient.
 
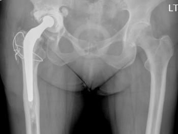
Figure 17 & Figure18: For larger defects (Paprosky Grade 2) long Exeter stems provide an effective bypass for immediate full weight-bearing with obvious advantages. These are availble in both 37.5 and 44 offset.
 
Figure 19 & Figure 20: In cases of revision for infection, the Exeter works well with the microbiologically prescribed custom-made antibiotic cement.
 
Jim Holland, Consultant Orthopaedic Surgeon,  Freeman Hospital, Newcastle upon Tyne, UK - No Conflict Declared 
 

Similar Devices

  • 1-5
  • of
  • 7

WhichMedicalDevice is a FREE resource created by clinicians for clinicians.

Registration is free and gives you unlimited access to all of the content and features of this website.

Find out more...

Please sign in to view this content...

I have forgotten my password
Not a Member?

Registration is free and gives you unlimited access to all of the content and features of Which Medical Device. Find out more...

Why Register

Which Medical Device is a community of clinicians sharing knowledge and experience of the devices and procedures we use on a daily basis. We ask that our members register with us so that we can maintain the unbiased and independent nature of our content. Registration is quick and free.

We do not make your details available to any third parties nor do we send unsolicited emails to our members. You can read our Privacy Policy here.